Login
Section Education

Screening For Multidrug-Resistant Staphylococcus Spp. Bacteria Causing Bacterial Vaginosis in Women


Penyaringan Bakteri Staphylococcus spp. yang Resisten terhadap Banyak Obat yang Menyebabkan Vaginosis Bakteri pada Wanita
Vol. 10 No. 2 (2025): December:

Zainab A. Fadhil (1)

(1) Department of Biology, College of Education for Pure Science, Diyala University/Iraq, Iraq

Abstract:

Background: Bacterial vaginosis (BV) is a common vaginal condition characterized by a shift from lactobacilli dominance to opportunistic bacteria. Specific Background: Recent observations indicate the increasing role of Staphylococcus spp., particularly multidrug-resistant strains, in persistent or recurrent BV. Knowledge Gap: Limited evidence exists regarding species-level identification and resistance profiles of Staphylococcus spp. in BV cases in Iraq. Aim: This study aimed to identify the bacterial species associated with BV and determine the antimicrobial susceptibility of the most resistant isolates. Results: Among 50 clinical samples, 20 yielded bacterial growth, dominated by Gram-positive isolates (65%), especially Staphylococcus haemolyticus (40%), S. aureus (15%), and S. epidermidis (10%). Gram-negative isolates included E. coli (20%) and Klebsiella pneumoniae (10%). Gardnerella vaginalis was detected in 5%. Antibiotic testing of 16 isolates showed high multidrug resistance, with S. haemolyticus exhibiting resistance to OFX, CRO, AMC, CTX, EM, CFM, and NA. Novelty: This study provides the first localized profiling of MDR Staphylococcus spp. in BV using VITEK-2 confirmation. Implications: Findings highlight the need for routine species identification, antimicrobial stewardship, and region-specific treatment guidelines to prevent rising resistance and recurrence.


Highlights
• Dominance of MDR Staphylococcus spp. in BV
• High resistance to β-lactams and macrolides
• Importance of routine screening and antibiotic stewardship


Keywords: Bacterial Vaginosis, Staphylococcus Haemolyticus, Multidrug Resistance, VITEK-2, Vaginal Microbiota

Downloads

Download data is not yet available.

Introduction

One of the most prevalent illnesses among women of reproductive age is bacterial vaginosis (BV), which raises the risk of premature birth infections and pelvic inflammatory disease (PID). which are the second leading cause of neonatal death worldwide [1]. Numerous studies highlight the importance of normal vaginal flora. The presence of vaginal microorganisms, predominantly Lactobacillus species, plays a crucial role in regulating vaginal health and preventing diseases.[2] A decrease in Lactobacillus and an increase in the number or type of facultative and anaerobic bacteria alter the vaginal bacterial balance, leading to an increase in pathogenic vaginal bacteria and causing BV. This, in turn, increases vaginal pH, which has been linked to increased susceptibility to and transmission of sexually transmitted infections [3]. Lactobacillus regulates the acidic environment of the vagina by producing abundant lactic acid, which acidifies the vagina. A pH <4.5 effectively contributes to protecting the vagina from pathogenic bacterial and viral infections [4].Hormonal changes in the vagina play a significant role in altering the natural vaginal flora, leading to inflammation. Normal estrogen levels are essential for maintaining vaginal balance and resistance to bacterial infections, as this hormone stimulates and activates the growth and integrity of the vaginal epithelium [5].

Numerous studies have established that various types of bacteria cause bacterial vaginosis, a polymicrobial infection. There are numerous causes of female reproductive tract infections (particularly vaginal and cervical infections), such as bacteria. [6]. These constitute (40-50%) of cases, with yeasts accounting for (30-40%), in addition to parasitic and viral infections. Vaginitis occurs in 20-40% of cases as a result of mixed infections caused by several organisms simultaneously [7].

The primary line of therapy for bacterial vaginosis is antibiotics. Intravaginal clindamycin and oral or intravaginal metronidazole are suggested treatment plans. [8]. These treatments have similar short-term efficacy against the illness. Within six to twelve months after finishing antibiotic therapy, bacterial vaginosis recurs in 50% to 80% of women. Antimicrobial resistance, biofilm development, reinfection through sexual partners, and the inability to restore ideal vaginal flora are all hypothesised causes of this therapeutic failure. [9]. Inaccurate diagnosis of bacterial vaginosis in women and premature initiation of treatment without prior drug sensitivity testing and laboratory examinations can lead to the emergence of antibiotic-resistant bacterial strains. Furthermore, the indiscriminate and excessive use of antibiotics has contributed to the development of resistant bacterial strains, and this resistance often becomes widespread [10]. Antimicrobial resistance may be influenced by biofilm, which is more commonly seen in people with recurrent bacterial vaginosis than in healthy people or those who have only had one episode. Even if bacterial vaginosis is successfully treated with antibiotics, the bacterial biofilm decreases the penetration of antimicrobials. Bacterial vaginosis (BV) requires a variety of treatment and preventative approaches since the biofilm is clinically persistent.[11]. Controlling pH, disrupting biofilms, and adhering to dietary changes, hormonal contraceptives, and condom use are some of these tactics. [12].

Materials and Methods

2.1 Sample Culture

In this study, (50) vaginal discharge samples were collected from pregnant women (35) and non-pregnant women (15), for the period from February 2023 to March 2023, from women arriving at Al-Batoul Teaching Hospital in Diyala Governorate and Al-Khansaa Teaching Hospital in Mosul. These samples included women aged 20-50 years, pregnant and non-pregnant, who had clinical symptoms associated with bacterial vaginosis (BV) and were transferred to the laboratory.

2.2 Diagnosis of Bacterial Isolates

The bacterial isolates obtained were diagnosed according to the following criteria [13].

2.2.1 Morphological Identification

The morphological characteristics of the bacterial isolates were studied on blood agar and MacConkey agar, including colony size, colour, consistency, margins, and other properties [14].

2.2.2 Microscopic Diagnosis

Bacterial isolates were diagnosed using Gram staining. Several colonies growing on blood agar or MacConkey agar were placed on a clean glass slide containing a drop of normal saline. The slide was spread on the slide and allowed to dry. It was then heat-fixed by rapidly passing it over a flame two or three times. Finally, it was stained with Gram stain and examined under a microscope to observe the morphology, color, cell aggregation, and staining pattern [15].

2.2.3 Biochemical Diagnosis

Before biochemical diagnosis, bacteria were activated on blood agar. Diagnostic tests, as described in Forbes et al. (2007) [13]. were used to identify bacterial isolates at the species level, as follows:

2 .2.3.1 Catalase Test

By turning hydrogen peroxide into water and oxygen gas, this test was used to determine if bacterial isolates were capable of producing the catalase enzyme. A tiny amount of the 18–24-hour-old bacterial growth was transferred onto the surface of a dry, clean glass slide in order to conduct this test. Hydrogen peroxide (H2O2) was added in a few drops. A positive result, or the release of oxygen gas, is shown by the production of air bubbles on the glass slide's surface. This shows that the isolates are capable of producing the catalase enzyme. (14).

2.2.3.2 Oxidase Test

This test was used to detect the ability of bacterial isolates to produce the oxidase enzyme. Filter paper was saturated with several drops of oxidase reagent, and a portion of the colony under study was transferred to the filter paper using wooden sticks. A positive result was indicated by the appearance of a purple colour upon contact of the bacterial cells with the reagent on the paper (15)

2.3 Bacterial Diagnosis with the Vitek 2 Compact Device

The Vitek device is considered one of the best devices for identifying bacterial species quickly and accurately. Developed by the French company Biomeriex, it identifies the type of bacteria by performing 64 tests.

2.4 Antimicrobial Susceptibility Testing

Kirby–Bauer disk diffusion on Mueller-Hinton agar using CLSI (2023) guidelines. Antibiotics tested included:

Concentration M icrograms /tablet Code Antibiotics
10 CRO Ceftriaxone
30 NV Novobiocin
30 EM Erythromycin
30 AMC Amoxicillin/clavulanic acid
10 IPM Imipenem
5 OFX Ofloxacin
30 VA Vancomycin
25 NA Nalidixic acid
10 CTX Cefotaxime
5 CFM Cefixime
Table 1.

** MDR was defined as resistance to ≥3 antibiotic classes .

Results

3.1 Sample Collection , Isolation , and Identification

Between February and March of 2023, fifty samples were taken from pregnant and non-pregnant women at Al-Khansaa Hospital in Mosul City and Al-Batoul Teaching Hospital in Diyala Governorate. These samples comprised 15 (30%) non-pregnant women and 35 (70%) pregnant women who showed clinical signs of bacterial vaginosis (BV). The samples were examined morphologically, microscopically, biochemically, and molecularly.

3.2 Morphological Identification

The attending physician and laboratory technician collected clinical samples and categorized them according to the color, odour, and pH of vaginal discharge using a pH meter. According to the findings, the colour of the vaginal discharge varied from white to greenish-yellow (20%, 35%, and 45%, respectively). The vaginal discharge has a pH between 5.0 and 7.0. Based on their physical traits, the bacterial species responsible for bacterial vaginosis (BV) were first identified (Figure 4-1). Blood agar, chocolate agar, and MacConkey agar were used for direct culture of the samples, which were then incubated for 24 hours at 37°C. Twenty (40%) of the samples had positive bacterial growth, according to the results, and thirty (60%) had mixed growth (fungi and yeast), which led to their exclusion from the research.

The Vitek assay was used to authenticate the morphological and biochemical identities of the samples. While some isolates appeared white or grey on blood agar and chocolate agar, others exhibited a pink colour on MacConkey agar, suggest916ing their capacity or inability to ferment lactose. (Vaginal Infections Atlas [STDs], 2018) (16)

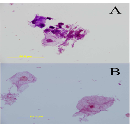
Figure 1. Figure ( 3- 1) Clinical samples of vaginal swabs: A) Positive for BV and B) Negative for BV

Figure 2. Figure ( 3- 1) Clinical samples of vaginal swabs: A) Positive for BV and B) Negative for BV

3 .3 Microscopic Examination

The bacteria appeared under the light microscope at a magnification of 100x after staining with Gram's stain. Gram-negative bacteria appeared red, and Gram-positive bacteria appeared purple (Figure 4-2). The percentage of Gram-positive bacteria (65%) was higher than the percentage of Gram-negative bacteria (35%), as shown in Table 4-1 and Figure 3-1.

Gram negative Gram positive % Bacterial isolates
+ 40 % ( 8) S. haemolyticus
+ 15 % ( 3) S. aureus
+ 10 % ( 2) S. epidermidis
- 20 % ( 4) E. coli
- % ( 2) 10 Klebsiella pneumonia
- ( 1) % 5 Gardnerella Vaginalis
Table 2. Table ( 3- 1) : Distribution of Isolates According to Microscopic Examination

Figure 3. Figure ( 3 -1): Distribution of bacterial isolates according to microscopic examination

Figure 4. A - Gram-negative isolates. Figure (4-2): Microscopic examination of bacterial isolates .

Figure 5. B - Gram-positive isolates Figure (4-2): Microscopic examination of bacterial isolates .

3. 4 . Biochemical Tests

Every isolate underwent biochemical testing. K. pneumoniae, E. coli, and E. ae were among the bacteria that tested positive for catalase. These bacteria used the reagent to break down hydrogen peroxide (H2O2) into water and oxygen. These gas bubbles' emergence signifies a successful outcome (17). However, because the colonies did not become purple when the reagent was added, these bacteria tested negative for oxidase. This is due to the bacteria's lack of the hydrogen-accepting enzyme cytochrome oxidase. Every Gram-positive isolate, including Staphylococcus species, tested positive for catalase and negative for oxidase (16). Table (4-2) and Figure (4-3) illustrate this.

Oxidase Catalase Bacterial isolates
- + S. haemolyticus
- + S. aureus
- + S. epidermidis
- + E. coli
_ + Klebsiella pneumonia
_ + Gardnerella Vaginalis
Table 3. Table ( 3 -2): Distribution of isolates according to biochemical tests

Figure 6. Figure (3-3): Oxidase A test: Catalase B test: for S. haemolyticus bacteria

3.5 . Diagnosis by the VITEK® 2 Compact System

The VITEK® 2 Compact system was used to diagnose bacterial isolates from vaginal fluids in order to guarantee the accuracy of the diagnosis and to determine their kinds. The VITEK technology produced results that were in line with conventional diagnostic techniques. (17) . Twenty pathogenic vaginal and intestinal bacterial isolates, distributed as Gram-positive, were among those causing vaginitis, according to our investigation employing VITEK diagnostics. Among them were S. haemolyticus, which grew at the fastest rate in vaginal secretions (8 (40%)), S. aureus (3 (15%), and S. epidermidis (2 (10)). According to Table (3-3), Gardnerella vaginalis bacteria had the lowest percentage (5%), whereas E. coli 4 (20%) and K. pneumoniae 2 (10%) were among the gram-negative bacteria. (Fig. 3-4)

Isolates No. %
S. haemolyticus 8 40%
S. aureus 3 15%
S. epidermidis 2 10%
E. coli 4 20%
Klebsiella pneumonia 2 10%
Gardnerella Vaginalis 1 %5
Total 20 %100
Table 4. Table ( 3 -3): Distribution of bacterial isolates isolated from patients with vaginitis using the VITEK apparatus

Figure 7. Figure (3-4): Distribution of clinically isolated bacterial isolates from patients with vaginitis using the VITEK device.

3.6 . Diagnosis of Bacterial Isolates According to Vaginal Discharge Type

( Diagnosis by Colour of Secretion )

According to the color of homogeneous vaginal discharge (white, yellow, or yellow-green) (17), the results of our study indicated that the highest percentage of bacterial isolation was found in yellow-green discharge (9%, 45%), followed by yellow discharge (7%, 35%), and white vaginal discharge (4%, 20%), as indicated in Table 4-4. These findings are in line with those of Al-Zubaidi (2012) (18), who discovered that the bacteria responsible for bacterial vaginosis were most prevalent in yellow-green discharge (6.7%), followed by yellow discharge (5.3%), and white discharge (4.3%) (19). The color, odor, and consistency of the vaginal discharge are used to identify bacterial vaginosis, confirming the existence of infection. Researchers' investigations verified this. (20). They said that although vaginal discharge color is a typical clinical indicator of bacterial vaginosis, vaginitis may be asymptomatic. Usually, the discharge is granular, white, or homogenous, and it may or may not smell bad. Additionally, they found that among the most significant indicators of vaginitis are changes in the consistency, viscosity, colour, and odour of vaginal discharge, as well as vaginal sensations including burning and itching (21). This is consistent with the research of Mengistie et al. (2014) (22), which showed that the diagnosis of bacterial vaginosis includes abnormal vaginal discharge. Table (3-4)

Figure 8. Table (3-4) : Distribution of Bacterial Isolates according to Colour of Secretion

3.7 Antibiotic Sensitivity Test

To identify multidrug resistance in the bacterial isolates S. haemolyticus, S. aureus, E. coli, and K. pneumoniae, bacterial sensitivity testing was carried out using the Kirby-Bauer disk diffusion technique. Ofloxacin, Ceftriaxone, Clavulanic Acid-Amoxicillin, Cefotaxime, Vancomycin, Novobiocin, Imipenem, Cefixime, Erythromycin, and Nalidixic acid—ten of the most widely used antibiotics for treating specific illnesses brought on by various kinds of bacteria—were evaluated. This test is used to identify microorganisms that are very resistant to antibiotics. Our present study's findings demonstrated that S. haemolyticus bacterial isolates were the most resistant (Table 3-5), with 100% resistance to NA, CFM, EM, CTX, AMC, and CRO and 100% sensitivity to IPM, NV, and VA. As indicated in Table (3-5) and Figure (3-6), the majority of the bacterial isolates were resistant to the antibiotic OFX, with the exception of two isolates that were responsive.

NA CFM IPM NV EM VA CTX AMC CRO OFX AntibioticBacteria
R R S S R S R R R R 16
R R S S R S R R R R 12
R R S S R S R R R R 8
R R S S R S R R R S 21
S R S S R R R R R R 22
R R S S R S R R R R 26
R R S S R R R R R S 10
R R S S R S R R R R 9
Table 5. Table (3-5): Susceptibility of S. haemolyticus isolates to antibiotics using discs

Figure 9. Table (3-6): Multidrug resistance of S. haemolyticus bacterial isolates

Discussion

This study highlights the emerging clinical significance of Staphylococcus spp. as contributors to bacterial vaginosis, especially among women with recurrent or persistent symptoms.

The findings of this study are in line with those of Hussein and Makhrmash (2023), who discovered that there were more Stain-positive bacteria (63% and 66%, respectively) and fewer Stain-negative bacteria (36% and 44%, respectively). These findings, however, contradict those of Al-Jamali and Al-Ghariri (2005) (24), who found that the proportion of stain-negative bacteria was greater than that of stain-positive bacteria.

. In addition to the indiscriminate use of antibiotics, birth control pills, and other substances that promote bacterial infection and the appearance of other symptoms like vaginal discharge, itching, changes in pH, and odor, the frequent appearance of these bacterial species that cause vaginal infections, particularly in pregnant women, is attributed to an imbalance in the microbial flora (the normal vaginal flora) (25).

Eight S. haemolyticus bacterial isolates were shown to be completely resistant to the medicines cefixime, cefotaxime, clavulanic acid/amoxicillin, ceftriaxime, nalidixic acid, and erythromycin. Regarding resistance to cefotaxime and amoxicillin (57.5% and 62%, respectively), their results were in line with those of Alwaily et al. (2022) and Shrestha et al. (2018). However, our study's sensitivity to Ceftriaxime (65%) and Cefotaxime (22%) was different from these two investigations. Additionally, our findings of 100% erythromycin resistance were comparable to those of Debnath et al. (2020), who discovered 60% resistance.

Our results are comparable with those of Debnath et al. (2020) (25) on multidrug resistance. However, our findings vary in that NV, NA, and IPM were effective against all S. haemolyticus isolates, in contrast to their investigation, which revealed no sensitivity and the inefficiency of these antibiotics against any isolate. Except for isolate 22, which was susceptible to the antibiotic, our findings are similarly consistent with those of Hussein and Makhrmash (2023) (26). Lastly, with the exception of isolates 21 and 10, OFX was ineffective against every bacterial strain. Table 3-5 illustrates how our findings align with those of Rashed et al. (2023) (27) and Shrestha et al. (2018) (28).

Multidrug resistance (MDR) is a characteristic of Staphylococcus aureus, which is frequently cultivated from hospitalised patients. Ten (10) antimicrobial drugs were evaluated for susceptibility in all eight (8) S. haemolyticus isolates. According to Table 4-6 above, three isolates (37.5%) were resistant to six agents or antibiotics, while five isolates (62.5%) were resistant to seven agents or antibiotics. The fact that S. haemolyticus has many mechanisms, such as enzymatic drug inactivation, target site alteration, efflux pump, and altered membrane permeability, is one of the primary causes of this multidrug resistance. (29)

The increasing frequency of MDR isolates is consistent with data from throughout the world showing that S. aureus and CoNS in the female genital tract are becoming more resistant. Our results are in line with several worldwide studies (30, 31) that reveal BV-associated Staphylococcus spp. exhibit strong resistance to β-lactams and macrolides.

Conclusion

With Gram-positive bacteria making up the majority (65%) of the isolates, the results of this investigation demonstrate a varied microbial profile linked to bacterial vaginosis. The most prevalent Gram-negative isolate was Escherichia coli, whereas the most common Gram-positive germs were Staphylococcus haemolyticus and Staphylococcus aureus. The 5% identification of Gardnerella vaginalis indicates that opportunistic and multidrug-resistant (MDR) bacteria are becoming more prevalent in the population under study, indicating a change in the etiological pattern of BV.

Testing for antibiotic susceptibility showed that the isolates had a worrying pattern of resistance. The S. Haemolyticus, S. aureus, E. coli, as well as K. Pneumoniae showed notable MDR behaviours by exhibiting resistance to several commonly prescribed antibiotics, such as ceftriaxone, amoxicillin/clavulanic acid, cefotaxime, erythromycin, and cefixime. Empirical treatment strategies for BV are further complicated by the high rate of resistance to macrolides and β-lactams. Moreover, E. Vancomycin-resistant coli isolates highlight the increasing risk of new resistant strains.

Overall, the study highlights the need for routine microbiological screening, species-level identification, and testing for antibiotic sensitivity in women who exhibit symptoms of BV. Rising antibiotic resistance and prolonged infection may be caused by empirical treatment without laboratory proof. To improve patient outcomes and stop the spread of MDR infections in the community, it is essential to update local treatment recommendations, promote early detection, and strengthen antimicrobial stewardship.

References

[1] R. Russo, E. Karadja, and F. De Seta, “Evidence-Based Mixture Containing Lactobacillus Strains and Lactoferrin to Prevent Recurrent Bacterial Vaginosis: A Double Blind, Placebo-Controlled, Randomised Clinical Trial,” Beneficial Microbes, vol. 10, no. 1, pp. 19–26, 2019.

[2] M. El-Badawy et al., “Antimicrobial Resistance of Vaginal Staphylococcus spp.,” Journal of Women’s Health, vol. 33, no. 2, pp. 145–155, 2024.

[3] A. Rahman, “Role of Emerging Bacteria in Recurrent BV,” Infectious Diseases in Obstetrics and Gynaecology, vol. 2023, pp. 1–8, 2023.

[4] L. Xu et al., “Biofilm-Producing CoNS in Vaginal Infections,” Frontiers in Microbiology, vol. 15, p. 12345, 2024.

[5] E. Alwaily, R. Khazaal, M. Flaih, and K. Hussein, “Molecular Characterization of Staphylococcus haemolyticus Isolated from Vaginitis and Some of Their Virulence Factors,” in Proc. 2nd Int. Multi-Disciplinary Conf. Integrated Sciences and Technologies (IMDC-IST 2021), Sakarya, Turkey, Sep. 2021, pp. 7–9.

[6] M. T. H. Aunkor et al., “Antibacterial Activity of Graphene Oxide Nanosheet Against Multidrug Resistant Superbugs Isolated from Infected Patients,” Royal Society Open Science, vol. 7, no. 7, p. 200640, 2020.

[7] A. Aved, F. Parvaiz, and S. Manzoor, “Bacterial Vaginosis: Insight into Prevalence, Alternative Treatment Regimen and Its Associated Resistance Patterns,” Microbial Pathogenesis, vol. 127, pp. 21–30, 2019.

[8] W. M. Al-Haik and A. M. Al-Haddad, “Bacterial Vaginosis Among Pregnant Women in Hadhramout-Yemen,” Al-Andalus Journal for Humanities & Social Sciences, no. 29, 2020.

[9] J. Ali, Q. A. Rafiq, and E. Ratcliffe, “Antimicrobial Resistance Mechanisms and Potential Synthetic Treatments,” Future Science OA, vol. 4, no. 4, p. FSO290, 2018.

[10] N. M. Aljamali, Z. H. Al-zubaidy, and A. H. Enad, “Bacterial Infection and Common Bacterial Diseases: A Review,” Trends in Pharmaceuticals and Nanotechnology, vol. 3, no. 2, pp. 13–22, 2021.

[11] M. Chakraborty et al., “Influence of Sub-Inhibitory Dosage of Cefotaxime on Multidrug Resistant Staphylococcus haemolyticus Isolated from Sick Neonatal Care Unit,” Antibiotics, vol. 11, no. 3, p. 360, 2022.

[12] R. Chen et al., “Probiotics Are a Good Choice for the Treatment of Bacterial Vaginosis: A Meta-Analysis of Randomised Controlled Trial,” Reproductive Health, vol. 19, no. 1, pp. 1–14, 2022.

[13] B. A. Forbesc, D. F. Sahm, and A. S. Wessifeld, Diagnostic Microbiology, 12th ed. Philadelphia, USA: Elsevier, 2007, pp. 216–276.

[14] J. G. Holt et al., Bergey’s Manual of Determinative Bacteriology. Baltimore, MD: Williams & Wilkins, 1994, pp. 20, 527–558.

[15] S. Yoo et al., “Identification of Non-Mutans Streptococci Origamis in Dental Plaques Recovering on Mitis Salivarius Bacitracin Agar Medium,” Microbiology, vol. 43, no. 2, 2005.

[16] S. Arroyo-Moreno et al., “Identification and Characterization of Novel Endolysins Targeting Gardnerella vaginalis Biofilms to Treat Bacterial Vaginosis,” NPJ Biofilms and Microbiomes, vol. 8, no. 1, p. 29, 2022.

[17] E. Barros, H. Ceotto, M. Bastos, K. R. dos Santos, and M. Giambiagi-Demarval, “Staphylococcus haemolyticus as an Important Hospital Pathogen and Carrier of Methicillin Resistance Genes,” Journal of Clinical Microbiology, vol. 50, pp. 166–168, 2012.

[18] K. K. [Author], A. M. Turkey, and J. J. Abed, “Comparison Study of mecA Gene-Based PCR with Phenotypic Methods for Detecting Biofilm Forming Methicillin Resistant Staphylococcus aureus Isolates,” Journal of University of Anbar for Pure Science, vol. 11, no. 1, pp. 1–8, 2017.

[19] R. Biswas et al., “Activity of the Major Staphylococcal Autolysin Atl,” FEMS Microbiology Letters, vol. 259, no. 2, pp. 260–268, 2006.

[20] J. Bosák, “Bacteriocinogeny of Yersinia: Molecular Interactions of Colicin Fy with a Susceptible Bacterial Cell,” Ph.D. dissertation, Masaryk Univ., Czech Republic, 2013.

[21] L. Boyanova et al., “Antibacterial Activity and Morphological Characterization of Synthesized Graphene Oxide Nanosheets by Simplified Hummer’s Method,” Biosciences Biotechnology Research Asia, vol. 15, no. 3, pp. 627–633, 2018.

[22] Z. Mengistie et al., “Prevalence of Bacterial Vaginosis Among Pregnant Women Attending Antenatal Care in Tikur Anbessa University Hospital, Addis Ababa, Ethiopia,” BMC Research Notes, vol. 7, pp. 1–5, 2014.

[23] C. P. Cartwright et al., “Multicenter Study Establishing the Clinical Validity of a Nucleic-Acid Amplification-Based Assay for the Diagnosis of Bacterial Vaginosis,” Diagnostic Microbiology and Infectious Disease, vol. 92, no. 3, pp. 173–178, 2018.

[24] A. Debnath, R. Ghosh, and D. Ghosh, “Detection of Inducible Clindamycin Resistance Among Erythromycin-Resistant CoNS Isolates,” Int. J. Health Sci. Res., vol. 10, no. 6, pp. 12–18, 2020.

[25] E. Shvartsman et al., “Gardnerella Revisited: Species Heterogeneity, Virulence Factors, Mucosal Immune Responses, and Contributions to BV,” Infection and Immunity, vol. 91, no. 5, pp. e00390–22, 2023.

[26] H. M. Hussien and J. H. Makhrmash, “The Role of Hemolysins in Pathogenesis of Staphylococcus aureus and S. haemolyticus Causing Urinary Tract Infections,” Annals of Forest Research, vol. 66, no. 1, pp. 4431–4443, 2023.

[27] H. J. Rashed, J. H. Makhrmash, and A. H. Maslat, “Molecular Study to Detect Some Virulence Factors in Vaginal Pathogenic Bacteria,” International Journal of Scientific Trends, vol. 2, no. 5, pp. 60–71, 2023.

[28] L. B. Shrestha, N. R. Bhattarai, and B. Khanal, “Comparative Evaluation of Methods for Detection of Biofilm Formation in Coagulase-Negative Staphylococci and Correlation with Antibiogram,” Infection and Drug Resistance, vol. 11, pp. 607–613, 2018.

[29] T. J. Foster, “Antibiotic Resistance in Staphylococcus aureus: Current Status and Prospects,” FEMS Microbiology Reviews, vol. 41, no. 3, pp. 430–449, 2017.

[30] G. F. Brooks et al., Adelberg’s Medical Microbiology, 14th ed., New York: McGraw-Hill, 2007, p. 273.

[31] L. Singhal, V. Gupta, S. Sharma, A. Agarwal, and P. Gupta, “Mucoid Staphylococcus haemolyticus: An Unheeded Multidrug-Resistant Pathogen,” Brazilian Journal of Microbiology, vol. 54, no. 1, pp. 191–198, 2023.

[32] B. Ghanbari et al., “Investigating Bacterial Vaginal Discharge Aetiology in Pregnant Women by Microscopic Examination and PCR,” Infection Epidemiology and Microbiology, vol. 8, no. 3, pp. 0–0, 2022.

[33] A. E. Brown and H. R. Smith, Benson’s Microbiological Applications: Laboratory Manual in General Microbiology, 14th ed. New York: McGraw-Hill Higher Education, 2017.

[34] J. Castro, A. P. Martins, M. E. Rodrigues, and N. Cerca, “Lactobacillus crispatus Represses Vaginolysin Expression by BV-Associated Gardnerella vaginalis and Reduces Cell Cytotoxicity,” Anaerobe, vol. 50, pp. 60–63, 2018.

[35] A. Cloeckaert, S. Baucheron, and E. Chaslus-Dancla, “Nonenzymatic Chloramphenicol Resistance Mediated by IncC Plasmid R55 Is Encoded by a floR Gene Variant,” Antimicrobial Agents and Chemotherapy, vol. 45, no. 8, pp. 2381–2382, 2001.

[36] S. S. Costa, M. Viveiros, L. Amaral, and I. Couto, “Multidrug Efflux Pumps in Staphylococcus aureus: An Update,” The Open Microbiology Journal, vol. 7, pp. 59–66, 2013.

[37] J. G. Collee, A. G. Fraser, B. P. Marmion, and A. Simmons, Mackie and McCartney Practical Medical Microbiology, 14th ed. London: Churchill Livingstone, 1996, pp. 173–174.

[38] A. Daihoff, T. Nasu, and K. Okamoto, “Beta-Lactamase Stability of Faropenem,” Chemotherapy, vol. 49, no. 5, pp. 229–236, 2003.

[39] H. Dong, H. Cao, and H. Zheng, “Pathogenic Bacteria Distributions and Drug Resistance Analysis in 96 Cases of Neonatal Sepsis,” BMC Pediatrics, vol. 17, pp. 1–6, 2017.

[40] R. K. A. Feltham, A. K. Power, P. A. Pell, and P. H. A. Sneath, “A Simple Method for Storage of Bacteria at –76°C,” Journal of Applied Bacteriology, vol. 44, no. 2, pp. 313–316, 1978.

[41] T. Foster, J. Geoghegan, V. Ganesh, and M. Hӧӧk, “Adhesion, Invasion and Evasion: The Many Functions of the Surface Proteins of Staphylococcus aureus,” Nature Reviews Microbiology, vol. 12, pp. 49–62, 2014.

[42] E. G. A. Fredheim et al., “Biofilm Formation by Staphylococcus haemolyticus,” Journal of Clinical Microbiology, vol. 47, no. 4, pp. 1172–1180, 2009.

[43] J. W. Froggatt, J. L. Johnston, D. W. Galetto, and G. L. Archer, “Antimicrobial Resistance in Nosocomial Isolates of Staphylococcus haemolyticus,” Antimicrobial Agents and Chemotherapy, vol. 33, no. 4, pp. 460–466, 1989.

[44] S. Greenbaum, G. Greenbaum, J. Moran-Gilad, and A. Y. Weintraub, “Ecological Dynamics of the Vaginal Microbiome in Relation to Health and Disease,” American Journal of Obstetrics and Gynecology, vol. 220, no. 4, pp. 324–335, 2019.

[45] R. F. Gutman, J. F. Peipert, S. Weitzen, and J. Blume, “Evaluation of Clinical Methods for Diagnosing Bacterial Vaginosis,” Obstetrics & Gynecology, vol. 105, no. 3, pp. 551–556, 2005.

[46] V. Hancock, M. Dahl, and P. Klemm, “Abolition of Biofilm Formation in Urinary Tract Escherichia coli and Klebsiella Isolates by Metal Interference Through Competition,” Applied and Environmental Microbiology, vol. 76, no. 12, pp. 3836–3841, 2010.

[47] C. Heilmann, W. Ziebuhr, and K. Becker, “Are Coagulase-Negative Staphylococci Virulent?,” Clinical Microbiology and Infection, vol. 25, no. 9, pp. 1071–1080, 2019.

[48] C. Hung et al., “Escherichia coli Biofilms Have an Organized and Complex Extracellular Matrix Structure,” mBio, vol. 4, no. 5, pp. e00645–13, 2013.

[49] D. T. N. Huynh, A. Y. Kim, and Y. R. Kim, “Identification of Pathogenic Factors in Klebsiella pneumoniae Using Impedimetric Sensor Equipped with Biomimetic Surfaces,” Sensors, vol. 17, no. 6, p. 1406, 2017.

[50] S. M. Jacobsen and M. E. Shirtliff, “Proteus mirabilis Biofilms and Catheter-Associated Urinary Tract Infections,” Landes Bioscience, vol. 2, no. 5, pp. 1–6, 2011.

[51] M. Janulaitiene et al., “Prevalence and Distribution of Gardnerella vaginalis Subgroups in Women With and Without Bacterial Vaginosis,” BMC Infectious Diseases, vol. 17, pp. 1–9, 2017.

[52] S. Jawetz et al., Medical Microbiology, 27th ed. New York: McGraw-Hill, 2016.

[53] J. Castro et al., “Using an In-Vitro Biofilm Model to Assess Virulence Potential of BV and Non-BV Gardnerella vaginalis Isolates,” Scientific Reports, vol. 5, p. 11640, 2015.

[54] F. Khan, I. Shukla, M. Rizvi, T. Mansoor, and S. C. Sharma, “Detection of Biofilm Formation in Staphylococcus aureus: Role in Treatment of MRSA Infection,” Trends in Medical Research, 2011.

[55] H. Khan, “Production, Characterization and Utilization of the Bacteriocin Produced by Enterococcus faecalis B9510,” Ph.D. dissertation, Massey Univ., New Zealand, 2012.

[56] G. Koch et al., “Evolution of Resistance to a Last-Resort Antibiotic in Staphylococcus aureus via Bacterial Competition,” Cell, vol. 158, no. 5, pp. 1060–1071, 2014.

[57] E. W. Koneman et al., Color Atlas and Textbook of Diagnostic Microbiology, 4th ed. Philadelphia: Lippincott, 1992.

[58] K. Kristóf et al., “Significance of Methicillin–Teicoplanin Resistant Staphylococcus haemolyticus in Bloodstream Infections,” European Journal of Clinical Microbiology & Infectious Diseases, vol. 30, pp. 691–699, 2011.

[59] J. Y. Lee et al., “Development of a New Biomarker Model for Predicting Preterm Birth in Cervicovaginal Fluid,” Metabolites, vol. 12, no. 8, p. 734, 2022.

[60] M. C. Liu et al., “10′(Z), 13′(E)-Heptadecadienylhydroquinone Inhibits Swarming and Virulence Factors and Increases Polymyxin B Susceptibility in Proteus mirabilis,” Anaerobe, 2012.

[61] T. Ito and K. Hiramatsu, “Acquisition of Methicillin Resistance and Progression of Multiantibiotic Resistance in Methicillin-Resistant Staphylococcus aureus,” Yonsei Medical Journal, vol. 39, no. 6, pp. 526–533, 1998.

[62] D. Ma, Y. Chen, and T. Chen, “Vaginal Microbiota Transplantation for the Treatment of Bacterial Vaginosis: A Conceptual Analysis,” FEMS Microbiology Letters, vol. 366, no. 4, p. fnz025, 2019.

[63] D. Machado et al., “Bacterial Vaginosis Biofilms: Challenges to Current Therapies and Emerging Solutions,” Frontiers in Microbiology, vol. 6, p. 1528, 2015.

[64] D. Machado et al., “Thymbra capitata Essential Oil as Potential Therapeutic Agent Against Gardnerella vaginalis Biofilm-Related Infections,” Future Microbiology, vol. 12, no. 5, pp. 407–416, 2017.

[65] M. Sabaté Brescó et al., “Pathogenic Mechanisms and Host Interactions in Staphylococcus epidermidis Device-Related Infection,” Frontiers in Microbiology, vol. 8, p. 1401, 2017.

[66] R. H. McDowell, E. M. Sands, and H. Friedman, “Bacillus cereus,” in StatPearls, Treasure Island, FL: StatPearls Publishing, 2020.

[67] T. Miyagi et al., “Biological and Pathological Roles of Ganglioside Sialidases,” Progress in Molecular Biology and Translational Science, vol. 156, pp. 121–150, 2018.

[68] S. Morrill, N. M. Gilbert, and A. L. Lewis, “Gardnerella vaginalis as a Cause of Bacterial Vaginosis: Appraisal of Evidence from In Vivo Models,” Frontiers in Cellular and Infection Microbiology, vol. 10, p. 168, 2020.

[69] R. Mustarichie, S. Sulistyaningsih, and D. Runadi, “Antibacterial Activity Test of Extracts and Fractions of Cassava Leaves Against Staphylococcus epidermidis and Propionibacterium acnes,” International Journal of Microbiology, vol. 2020, pp. 1–7, 2020.

[70] C. A. Muzny et al., “Diagnosis and Management of Bacterial Vaginosis: Summary of Evidence Reviewed for the 2021 CDC STI Treatment Guidelines,” Clinical Infectious Diseases, vol. 74, no. 2, pp. S144–S151, 2022.

[71] A. Narine, A. M. Weis, B. C. Huang, and B. C. Weimer, “Implication of Sialidases in Salmonella Infection: Genome Release of Sialidase Knockout Strains,” Microbiology Resource Announcements, vol. 5, no. 19, 2017.

[72] F. Neamati, F. Firoozeh, M. Saffari, and M. Zibaei, “Virulence Genes and Antimicrobial Resistance Pattern in Uropathogenic Escherichia coli,” Jundishapur Journal of Microbiology, vol. 8, no. 2, pp. 1–6, 2015.

[73] K. Nishiyama et al., “Two Extracellular Sialidases from Bifidobacterium bifidum Promote Degradation of Sialyl-Oligosaccharides and Support Growth of Bifidobacterium breve,” Anaerobe, vol. 52, pp. 22–28, 2018.

[74] I. Novak and B. Kovač, “Electronic Structure of Antibiotic Erythromycin,” Spectrochimica Acta Part A: Molecular and Biomolecular Spectroscopy, vol. 138, pp. 550–552, 2015.

[75] S. Panda and D. V. Singh, “Whole-Genome Sequences of Staphylococcus haemolyticus from Infected Eyes and Healthy Conjunctiva,” Genome Announcements, vol. 4, no. 2, pp. e00099–16, 2016.

[76] A. S. QM, “Antimicrobial Activity in Urine: Effect on Leukocyte Count and Bacterial Culture Results,” The New Microbiologica, vol. 24, no. 2, pp. 137–142, 2001.

[77] V. L. Rao and T. Mahmood, “Vaginal Discharge,” Obstetrics, Gynaecology & Reproductive Medicine, vol. 30, no. 1, pp. 11–18, 2020.

[78] J. Ravel, I. Moreno, and C. Simón, “Bacterial Vaginosis and Its Association with Infertility, Endometritis, and Pelvic Inflammatory Disease,” American Journal of Obstetrics and Gynecology, vol. 224, no. 3, pp. 251–257, 2021.

[79] M. S. A. Razzak, A. H. Al-Charrakh, and B. H. Al-Greitty, “Relationship Between Lactobacilli and Opportunistic Bacterial Pathogens Associated with Vaginitis,” North American Journal of Medical Sciences, vol. 3, no. 4, pp. 185–190, 2011.

[80] S. Reiter and S. Kellogg Spadt, “Bacterial Vaginosis: An Introduction for Clinicians,” Postgraduate Medicine, vol. 131, no. 1, pp. 8–15, 2019.

[81] N. A. Rivero-Segura, S. L. Morales-Rosales, and R. Rincón-Heredia, “Microscopy Principles in the Diagnosis of Epidemic Diseases,” in Principles of Genetics and Molecular Epidemiology, Cham: Springer, 2022, pp. 87–105.

[82] K. J. Ryan et al., Infectious Diseases, 4th ed. New York: McGraw-Hill, 2004.

[83] M. Sabaté Brescó et al., “Pathogenic Mechanisms and Host Interactions in Staphylococcus epidermidis Device-Related Infection,” Frontiers in Microbiology, vol. 8, p. 1401, 2017.

[84] B. V. P. Saradhi, “Structural and Biochemical Investigation of Metallo-β-Lactamases,” Ph.D. Thesis, Univ. of Tromsø, Norway, 2012.

[85] A. Shaker, Kh. Aboshanab, M. Mabrouk Aboulwafa, and N. Hassouna, “Plasmid-Carried Macrolides Target Site Modification erm and Efflux msr Genes in Staphylococcus spp.,” Archives of Clinical Microbiology, vol. 5, no. 5, pp. 1–5, 2014.

[86] S. M. Soto, “Importance of Biofilms in Urinary Tract Infections: New Therapeutic Approaches,” Advances in Biology, pp. 1–13, 2014.

[87] G. G. Soares et al., “Biofilm Production and Resistance Profile of Enterobacter spp. Strains Isolated from Pressure Ulcers,” Jornal Brasileiro de Patologia e Medicina Laboratorial, vol. 52, no. 5, pp. 293–298, 2016.

[88] C. N. Spaulding et al., “Selective Depletion of Uropathogenic E. coli from the Gut by a FimH Antagonist,” Nature, vol. 546, pp. 528–532, 2017.

[89] H. G. Stephan and D. M. Timothy, Antibiotic Resistance Protocols, 2nd ed. New York: Humana Press, 2010.

[90] F. H. Stephenson, Calculations for Molecular Biology and Biotechnology: A Guide to Mathematics in the Laboratory, 1st ed. Elsevier, 2003, ch. 2, pp. 18–34.

[91] A. Tadesse and M. Alem, Medical Bacteriology. Gondar, Ethiopia: EPHTI, Gondar University, 2006.

[92] M. E. Terlizzi, G. Gribaudo, and M. E. Maffei, “Uropathogenic Escherichia coli (UPEC) Infections: Virulence Factors, Bladder Responses, Antibiotic, and Non-Antibiotic Antimicrobial Strategies,” Frontiers in Microbiology, vol. 8, p. 1566, 2017.

[93] C. Vuotto, F. Longo, M. P. Balice, G. Donelli, and P. E. Varaldo, “Antibiotic Resistance Related to Biofilm Formation in Klebsiella pneumoniae,” Pathogens, vol. 3, no. 3, pp. 743–758, 2014.

[94] M. Widerström, “Significance of Staphylococcus epidermidis in Health Care-Associated Infections: From Contaminant to Clinically Relevant Pathogen,” Journal of Clinical Microbiology, vol. 54, pp. 1679–1681, 2016.

[95] K. A. Workowski et al., “Sexually Transmitted Infections Treatment Guidelines, 2021,” MMWR Recommendations and Reports, vol. 70, no. 4, pp. 1–187, 2021.

[96] Q. Xia et al., “Identification of Vaginal Bacteria Diversity and Its Association with Clinically Diagnosed Bacterial Vaginosis Using DGGE and Correspondence Analysis,” Infection, Genetics and Evolution, vol. 44, pp. 479–486, 2016.

[97] A. Zervosen et al., “Development of New Drugs for an Old Target—The Penicillin-Binding Proteins,” Molecules, vol. 17, no. 11, pp. 12478–12505, 2012.

[98] W. Y. Zyiue, H. Ining, and Z. Yingjie, “Probiotics for the Treatment of Bacterial Vaginosis,” International Journal of Environmental Research and Public Health, vol. 16, p. 385, 2019.

[99] Z. Y. Liu, L. Cheng, H. Zhang, S. Sun, F. Liu, H. Li et al., “Identification of Vaginal Bacteria Diversity and Its Association With Bacterial Vaginosis,” Infection Genetics and Evolution, vol. 44, pp. 479–486, 2016.

[100] J. Yingjie, W. Zhiye, and H. Ning, “Probiotics in Bacterial Vaginosis Management,” International Journal of Environmental Research and Public Health, vol. 16, p. 385, 2019.

[121] J. Castro, A. P. Martins, M. E. Rodrigues, and N. Cerca, “Lactobacillus crispatus Represses Vaginolysin Expression by BV-Associated Gardnerella vaginalis and Reduces Cell Cytotoxicity,” Anaerobe, vol. 50, pp. 60–63, 2018.

[122] A. Cloeckaert, S. Baucheron, and E. Chaslus-Dancla, “Nonenzymatic Chloramphenicol Resistance Mediated by IncC Plasmid R55 Is Encoded by a floR Gene Variant,” Antimicrobial Agents and Chemotherapy, vol. 45, no. 8, pp. 2381–2382, 2001.

[123] S. S. Costa, M. Viveiros, L. Amaral, and I. Couto, “Multidrug Efflux Pumps in Staphylococcus aureus: An Update,” The Open Microbiology Journal, vol. 7, pp. 59–66, 2013.

[124] J. G. Collee, A. G. Fraser, B. P. Marmion, and A. Simmons, Mackie & McCartney Practical Medical Microbiology, 14th ed. London: Churchill Livingstone, 1996, pp. 173–174.

[125] A. Daihoff, T. Nasu, and K. Okamoto, “Beta-Lactamase Stability of Faropenem,” Chemotherapy, vol. 49, no. 5, pp. 229–236, 2003.

[126] H. Dong, H. Cao, and H. Zheng, “Pathogenic Bacteria Distributions and Drug Resistance in Neonatal Sepsis,” BMC Pediatrics, vol. 17, pp. 1–6, 2017.

[127] R. K. A. Feltham et al., “A Simple Method for Storage of Bacteria at –76 °C,” Journal of Applied Bacteriology, vol. 44, no. 2, pp. 313–316, 1978.

[128] T. Foster et al., “Functions of the Surface Proteins of Staphylococcus aureus,” Nature Reviews Microbiology, vol. 12, pp. 49–62, 2014.

[129] E. G. A. Fredheim et al., “Biofilm Formation by Staphylococcus haemolyticus,” Journal of Clinical Microbiology, vol. 47, no. 4, pp. 1172–1180, 2009.

[130] J. W. Froggatt et al., “Antimicrobial Resistance in Nosocomial Staphylococcus haemolyticus,” Antimicrobial Agents and Chemotherapy, vol. 33, no. 4, pp. 460–466, 1989.

[131] S. Greenbaum, G. Greenbaum, J. Moran-Gilad, and A. Y. Weintraub, “Ecological Dynamics of the Vaginal Microbiome,” American Journal of Obstetrics and Gynecology, vol. 220, no. 4, pp. 324–335, 2019.

[132] R. F. Gutman, J. F. Peipert, S. Weitzen, and J. Blume, “Evaluation of Clinical Methods for Diagnosing BV,” Obstetrics & Gynecology, vol. 105, no. 3, pp. 551–556, 2005.

[133] V. Hancock, M. Dahl, and P. Klemm, “Abolition of Biofilm Formation in UTI-Associated E. coli and Klebsiella,” Applied and Environmental Microbiology, vol. 76, no. 12, pp. 3836–3841, 2010.

[134] C. Heilmann, W. Ziebuhr, and K. Becker, “Are Coagulase-Negative Staphylococci Virulent?,” Clinical Microbiology and Infection, vol. 25, no. 9, pp. 1071–1080, 2019.

[135] C. Hung et al., “Complex Extracellular Matrix Structure of Escherichia coli Biofilms,” mBio, vol. 4, no. 5, pp. e00645–13, 2013.

[136] D. T. N. Huynh, A. Y. Kim, and Y. R. Kim, “Pathogenic Factors in Klebsiella pneumoniae,” Sensors, vol. 17, no. 6, p. 1406, 2017.

[137] S. M. Jacobsen and M. E. Shirtliff, “Proteus mirabilis Biofilms and CAUTI,” Landes Bioscience, vol. 2, no. 5, pp. 1–6, 2011.

[138] M. Janulaitiene et al., “Prevalence of Gardnerella vaginalis Subgroups,” BMC Infectious Diseases, vol. 17, pp. 1–9, 2017.

[139] S. Jawetz et al., Medical Microbiology, 27th ed. New York: McGraw-Hill, 2016.

[140] J. Castro et al., “Virulence Potential of BV and Non-BV Gardnerella,” Scientific Reports, vol. 5, p. 11640, 2015.

[141] F. Khan et al., “Detection of Biofilm Formation in MRSA,” Trends in Medical Research, 2011.

[142] H. Khan, “Production of Bacteriocin by Enterococcus faecalis B9510,” Ph.D. dissertation, Massey Univ., New Zealand, 2012.

[143] G. Koch et al., “Evolution of Resistance in Staphylococcus aureus,” Cell, vol. 158, no. 5, pp. 1060–1071, 2014.

[144] E. W. Koneman et al., Color Atlas and Textbook of Diagnostic Microbiology, 4th ed. Philadelphia: Lippincott, 1992.

[145] K. Kristóf et al., “Methicillin–Teicoplanin Resistant S. haemolyticus in Bloodstream Infections,” European Journal of Clinical Microbiology & Infectious Diseases, vol. 30, pp. 691–699, 2011.

[146] J. Y. Lee et al., “Biomarker Model for Predicting Preterm Birth,” Metabolites, vol. 12, no. 8, p. 734, 2022.

[147] M. C. Liu et al., “Heptadecadienylhydroquinone and Proteus mirabilis Virulence,” Anaerobe, 2012.

[148] T. Ito and K. Hiramatsu, “Progression of Multiantibiotic Resistance in MRSA,” Yonsei Medical Journal, vol. 39, no. 6, pp. 526–533, 1998.

[149] D. Ma, Y. Chen, and T. Chen, “Vaginal Microbiota Transplantation Analysis,” FEMS Microbiology Letters, vol. 366, no. 4, p. fnz025, 2019.

[150] D. Machado et al., “Biofilms and Emerging Therapeutic Solutions for BV,” Frontiers in Microbiology, vol. 6, p. 1528, 2015.